Minha Especialidade é Realçar o que Já é Seu, Criando Sorrisos e Harmonizações Faciais que Refletem sua Verdadeira Essência.
Reduz as rugas e linhas de expressão, suavizando a aparência da pele e proporcionando um aspecto mais jovem.

Aumenta o volume dos lábios, proporcionando uma aparência mais cheia e definida.

Estimula a produção natural de colágeno na pele, melhorando sua firmeza e elasticidade.

Remove manchas e descolorações dos dentes, deixando-os mais brancos e brilhantes.

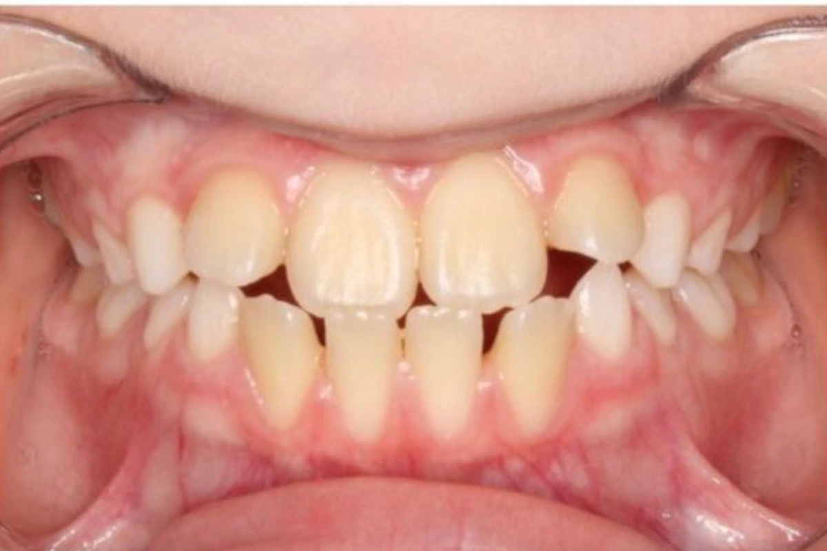
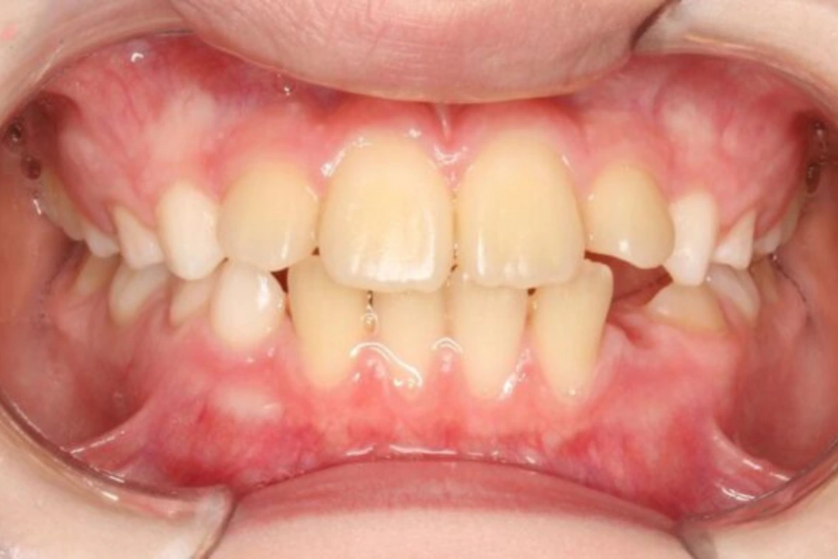
Corrige o alinhamento dos dentes e problemas de mordida.

Promove um crescimento facial saudável e corrige problemas de mordida em crianças.

A harmonização facial é um conjunto de procedimentos estéticos que visa equilibrar e realçar os traços faciais, proporcionando uma aparência mais harmônica e jovial. O resultado final depende das características individuais de cada pessoa.
A duração dos resultados da harmonização facial varia de acordo com diversos fatores, como o tipo de procedimento realizado, a idade do paciente e os cuidados pós-tratamento, cuidados diários com a pele e a saúde. Em geral, os resultados podem durar de meses a alguns anos, mas é importante ressaltar que cada caso é único e depende de uma avaliação individual.
A harmonização orofacial oferece uma série de benefícios estéticos e funcionais, incluindo melhoria da aparência facial, correção de assimetrias, suavização de rugas e linhas de expressão. Além disso, pode proporcionar um aumento na autoestima e confiança do paciente.
A experiência de dor varia de pessoa para pessoa, mas em geral, os procedimentos de harmonização facial são realizados com anestesia local para garantir o máximo de conforto durante o tratamento. Além disso, nossa equipe está preparada para oferecer um ambiente acolhedor e cuidadoso durante todo o processo.
A duração de um procedimento de harmonização orofacial pode variar dependendo do tipo de tratamento realizado e das necessidades específicas do paciente. Procedimentos simples, como aplicação de preenchedores faciais, podem levar de 30 minutos a 1 hora, enquanto procedimentos mais complexos, podem exigir mais tempo para a conclusão.
O tempo de recuperação pode variar dependendo do tipo de procedimento realizado. Em geral, é comum ocorrer algum inchaço ou pequenos hematomas nos primeiros dias após a harmonização facial. Recomendamos seguir todas as orientações pós-tratamento para garantir uma recuperação adequada e resultados satisfatórios.
Para dúvidas sobre procedimentos específicos clicar no botão abaixo que orientaremos você sobre.
A escolha do procedimento correto para suas necessidades deve ser feita em consulta com um profissional qualificado. Durante a avaliação inicial, realizamos uma análise facial detalhada e discutir suas preocupações e objetivos estéticos. Com base nessa avaliação, será recomendado um plano de tratamento personalizado que atenda às suas necessidades específicas.
Os cuidados pós-procedimento são essenciais para otimizar os resultados da harmonização facial. Recomendamos evitar exposição solar intensa, seguir uma alimentação saudável, evitar o consumo de álcool e tabaco, e seguir todas as orientações específicas fornecidas pela nossa equipe. Cada procedimento requer cuidados específicos, e nossa equipe estará disponível para responder todas as suas dúvidas individuais.
Sim, a harmonização facial pode ser combinada com outros procedimentos estéticos para alcançar resultados mais completos e satisfatórios. É importante discutir suas expectativas e objetivos durante a consulta, para que nossa equipe possa criar um plano personalizado que atenda às suas necessidades.
Os valores dos procedimentos de harmonização facial podem variar dependendo do tipo de procedimento realizado e das necessidades individuais de cada paciente. Recomendamos agendar uma avaliação completa, onde poderemos discutir os procedimentos recomendados e fornecer informações detalhadas sobre os valores envolvidos.
Para dúvidas adicionais ou informações personalizadas, por favor, clique no botão “Quero tirar minhas dúvidas” abaixo e nossa equipe terá prazer em responder a todas as suas perguntas individualmente.
Para agendar uma consulta com a Dra Elen Juliana, você pode entrar em contato conosco através dos botões whatsapp disponíveis por todo o nosso site. Nossa equipe terá o prazer de agendar sua consulta para você e responder a quaisquer perguntas que você possa ter sobre nossos serviços.
“Olá, sou a Dra. Elen Juliana Lemes, formada em odontologia pela Faculdade de Ciências do Tocantins. Em 2018 me apaixonei pela a Harmonização Orofacial e em 2019 pela Ortodontia. Trabalhar com essas áreas é mais do que uma profissão para mim, é uma verdadeira paixão.
Eu acredito que a ortodontia, harmonização facial se complementam de forma única. Para mim, um rosto harmônico vai muito além de apenas preencher com ácido hialurônico. É sobre encontrar o equilíbrio perfeito entre um sorriso alinhado, saudável e radiante.
É uma honra poder ajudar meus pacientes a alcançarem não apenas estética facial, mas também uma renovada confiança e autoestima. Estou comprometida em proporcionar tratamentos personalizados e de alta qualidade, para que cada pessoa que passa pela minha cadeira sinta-se verdadeiramente feliz. Estou aqui para ajudar você a alcançar sua melhor versão, transformando sorrisos e vidas.”
EXCELENTE Com base em 31 avaliações Marco Túlio Camargo Guerra05/06/2023 Lugar extremamente bem cuidado, excelente profissional e muito atenciosa. Facetas impecáveis Iolanda Garcia08/02/2023 Maravilhosa! Serviço impecável !!! Recomendo de olhos fechados!!! Lorraine Rezende07/02/2023 A Doutora é um amor de pessoa. Simpática, receptiva, muito cuidadosa e profissional. Me acalmou, porque eu estava nervosa com o procedimento, disse palavras doces pra me acalmar e realmente me surpreendeu!!! Só dei 5 estrelas porque não dava pra por mais. Caso contrário, daria mil estrelas. Muito obrigada, Doutora Lemes, seu consultório ganhou uma paciente fiel. Voltarei mais vezes para mais procedimentos. Um grande abraço da sua paciente mais medrosa! ❤️❤️❤️❤️❤️❤️❤️❤️❤️❤️❤️❤️❤️ 92aninhah07/02/2023 Excelente profissional. José Euripedes lemes de Oliveira07/02/2023 Uma profissional competente que transmite segurança no resultado que buscamos. André Evangelista07/02/2023 Excelente! João Marcos Martins de Oliveira07/02/2023 Atendimento de primeira linha. Altamiro Moreira07/02/2023 Excelente profissional. Resultados de primeira linha. Gostei muito e indico. Parabéns Dra.!!! Você é fera Euzenice Martins de Oliveira07/02/2023 Muito recptiva e profissional. Superou minhas espectativas! Magnífico o procedimento fiquei MUITO agradecida com o resultado. Rafael Henrique07/02/2023 Ótima profissional, atenciosa e competente.
Clínica ClinFace – Rua 15, Nº 858, Setor Marista, Goiânia – GO
@dra.elenjuliana
(62) 98208-4014
Dra. Elen Juliana – Clínica ClinFace – Rua 15, Nº 858, Setor Marista, Goiânia – GO
Dra. Elen Juliana Lemes
Desenvolvido por BlankSpace Studio Criativo © 2024 – Todos os direitos reservados.